TRIỂN KHAI THÀNH CÔNG KỸ THUẬT MỚI
TRONG ĐIỀU TRỊ NANG GAN
Nhờ triển khai kỹ thuật mới “Chọc hút nang gan và đốt nang gan bằng cồn tuyệt đối dưới hướng dẫn của siêu âm”, các bác sĩ khoa Chẩn đoán hình ảnh – Bệnh viện đa khoa Sơn Tây đã điều trị thành công cho người bệnh có nang gan phải chảy máu/BN đã phẫu thuật nang gan 02 lần.
Ngày 20/09/2021, Bệnh viện đa khoa Sơn Tây tiếp nhận người bệnh Vũ Thị T, Sinh năm 1963 ở Trung Hưng – Sơn Tây – Hà Nội, đến viện trong tình trạng đau tức Hạ sườn Phải/ BN Nang gan phải đã phẫu thuật nang gan 2 lần.
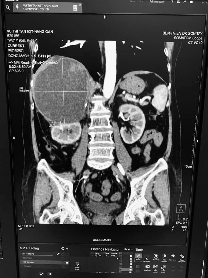
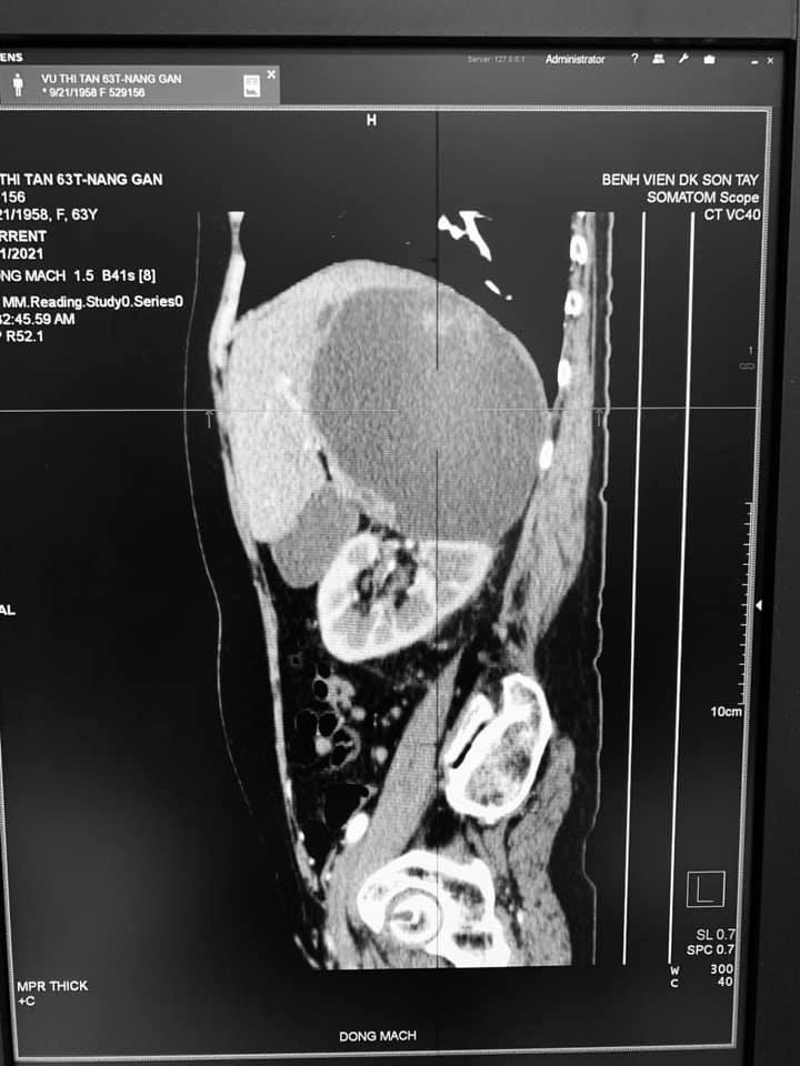
Qua hỏi bệnh, thăm khám và làm các xét nghiệm chẩn đoán cận lâm sàng được biết bệnh nhân có tiền sử Nang gan phải đã phẫu thuật nang gan 2 lần.( lần 1 năm 2019, lần 2 năm 2021), Xét nghiệm huyết học, sinh hóa các trị số bình thường, kết quả siêu âm: Hình ảnh nang gan phải TD xuất huyết trong nang, kết quả chụp cắt lớp vi tính : Hình ảnh nang gan chảy máu( KT 11x12cm).
Người bệnh được hội chẩn lãnh đạo, liên chuyên khoa quyết định: “Chọc hút nang gan và đốt nang gan bằng cồng tuyệt đối dưới hướng dẫn của siêu âm” để điều trị cho người bệnh.
Sau 01h thực hiện kỹ thuật, bệnh nhân hoàn toàn ổn định.
Bs CKI Hoàng Minh Phong – Trưởng khoa Chẩn đoàn hình ảnh – Người trực tiếp thực hiện kỹ thuật cho biết: Nang gan là tình trạng các túi ở gan chứa đầy các dịch. Nang gan thường không có dấu hiệu, triệu chứng cụ thể, vì vậy chúng ta rất khó phát hiện ra bệnh. Nhiều trường hợp, nang gan có thể bẩm sinh, thường phát triển chậm và không được phát hiện cho đến lúc lớn lên.Kỹ thuật “Chọc hút nang gan và đốt nang gan bằng cồn tuyệt đối dưới hướng dẫn của siêu âm” thường được Chỉ định trong các trường hợp: Nang gan thận đơn thuần không có vách, không có nụ sùi, không có vôi hóa( loại trừ Cytadenomas, Cytasadenorma, cyst, gan thận đa nang, di căn nang), Nang gan >5cm, Nang gan có biến chứng chèn ép giãn đường mật. Và ưu điểm của phương pháp này là: Nhẹ nhàng, ít xâm lấn, giảm thiểu tỉ lệ nhiễm khuẩn, không gây đau đớn cho bệnh nhân, tránh tái phát do đã làm dày dính thành nang bằng cồn, giảm thiểu chi phí điều trị, giảm thời gian điều trị, bệnh nhân xuất viện sớm.
NHƯ HOA
