Ngày 16/1/2022. Bệnh viện đa khoa Sơn Tây phẫu thuật thành công một ca Thoát vị bịt hiếm gặp.
Trước đó, bệnh nhân Khuất Thị N 68 tuổi ở Phúc Thọ – Hà Nội đến viện trong tình trạng đau vùng bẹn phải, đau bụng từng cơn, đau khắp ổ bụng , kèm theo nôn, bí trung đại tiện. Theo người nhà kể lại thì bệnh nhân đã bị đau 4 ngày trước khi đến viện.
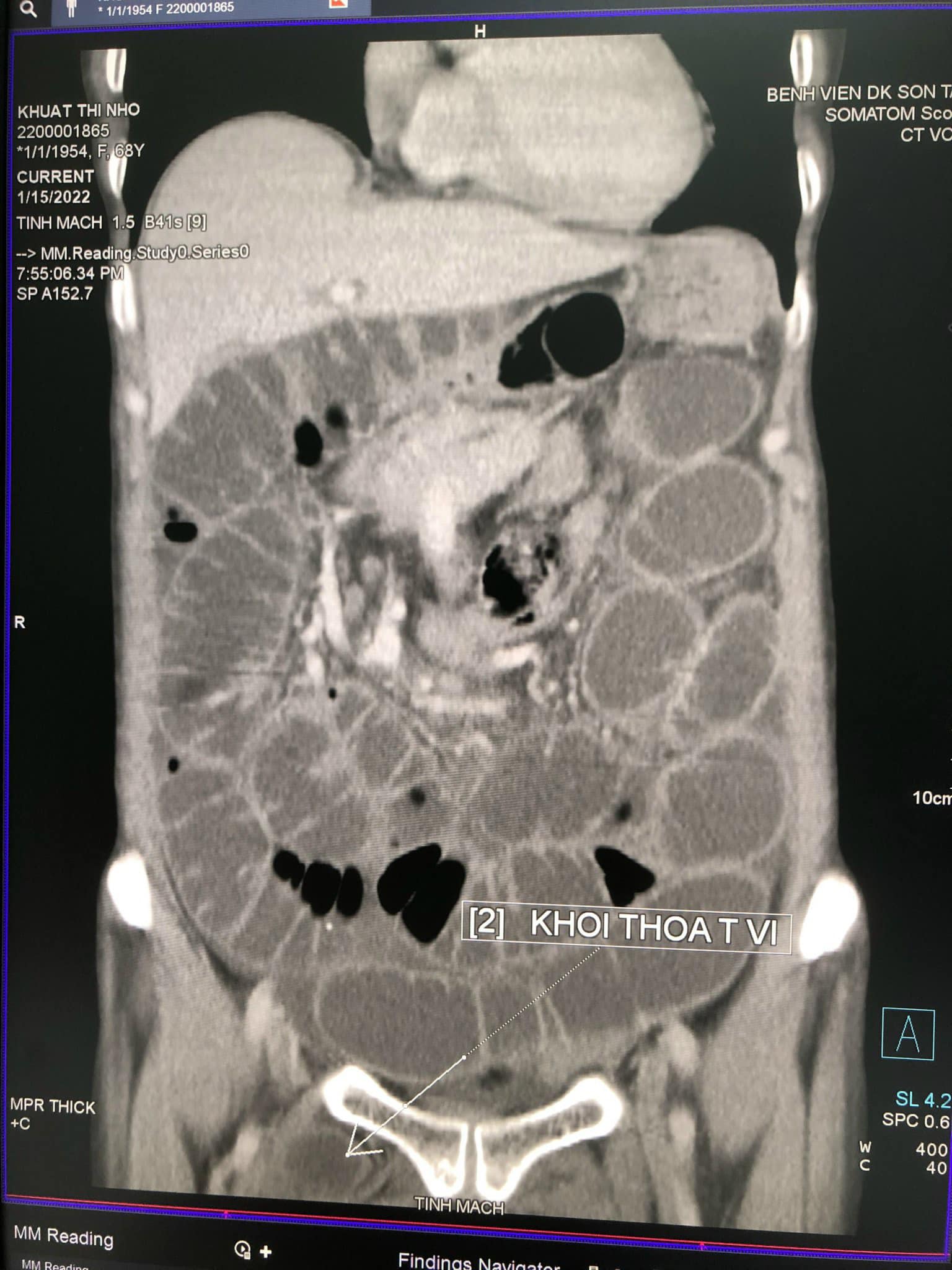
Qua thăm khám, thực hiện chụp cắt lớp vi tính (CT) phát hiện có quai ruột non chui qua và kẹt ở lỗ bịt bên phải, các quai ruột non giãn, đường kính từ 27-30mm. Tiến hành hội chẩn, các bác sĩ xác định bệnh nhân bị thoát vị bịt bên phải nghẹt, chỉ định mổ cấp cứu.
Bs Phạm Tiến Dung – Phó giám đốc – Trưởng khoa Ngoại Tổng hợp – Người trực tiếp phẫu thuật cho bệnh nhân cho biết. Thoát vị bịt là một bệnh lý hiếm gặp (dưới 1% trong số các loại thoát vị), nguy cơ tử vong cao nhất trong các loại thoát vị thành bụng (13-40%). Bệnh xảy ra khi các thành phần trong ổ bụng chui qua chỗ khuyết của lỗ bịt để đi vào ống bịt.
Các triệu chứng lâm sàng thường nghèo nàn do đó việc xác định bệnh thường gặp khó khăn. Nếu không xử lý kịp thời dẫn đến các biến chứng nguy hiểm dẫn đến tử vong và nhiều biến chứng sau mổ.
Bệnh nhân Khuất Thị N đã được bác sĩ khoa Ngoại Tổng hợp, khoa Chẩn đoán hình ảnh, khoa Gây mê và Hồi sức cấp cứu Bệnh viện đa khoa Sơn Tây phát hiện và phẫu thuật cấp cứu kịp thời. Quá trình phẫu thuật ghi nhận các quai ruột giãn to, nhiều dịch. Quai ruột cách góc Treizt khoảng 40cm chui vào lỗ bịt bên phải gây hoại tử ruột. Tiến hành giải phóng quai ruột nghẹt, khâu lại lỗ bịt. Cắt đoạn ruột hoại tử, đầu trên cách góc Treizt 20cm xét thấy phải nối ngay không thể làm hậu môn nhân tạo được. Kíp phẫu thuật đã phải nối ruột bên bên luôn.
Hiện tại sau mổ 11 ngày người bệnh tỉnh táo, ăn uống tiêu hóa tốt dự kiến xuất viện trong vài ngày tới.
NHƯ HOA
