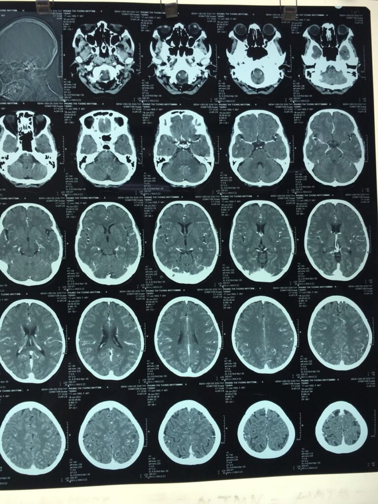
Vừa qua, Bệnh viện đa khoa Sơn Tây đã tiếp nhận bệnh nhân Phùng Thị T, 66 tuổi. Địa chỉ: Sơn Đông, Sơn Tây. Theo người nhà kể lại, bệnh nhân sau khi ăn cơm xong thì đột ngột xuất hiện giảm vận động nửa người bên phải, nói khó, không xử lý gì, vào viện ngay. Tình trạng lúc vào viện, bệnh nhân lú lẫn GCS 10 điểm, liệt ½ người (phải), liệt mặt trung ương. Chụp CT cắt lớp vi tính sọ não, kết quả: Không xuất huyết não, giảm đậm độ thùy đảo (Trái). Xác định bệnh nhân nhồi máu não bán cầu trái, giờ 2.5Tai biến mạch máu não, nhồi máu não, đột quỵ não là bệnh đứng thứ 3 thế giới về tỉ lệ tử vong, là nguyên nhân chính gây tàn phế, di chứng nặng nề, trong đó, nhồi máu não chiếm hơn 80% tổng số các bệnh nhân đột quỵ não. Để điều trị nhồi máu não thành công, vấn đề thời gian và cách thức xử lý có vai trò quyết định. Trước đó, Bệnh viện đa khoa Sơn Tây đã xác định nhiệm vụ phát triển chuyên môn về điều trị đột quỵ não, nhồi máu não bằng phương pháp hiện đại nhất là tiêm thuốc tiêu sợi huyết. Bác sỹ Đào Ngọc Linh – Khoa Hồi sức cấp cứu được lựa chọn cử đi học kỹ thuật này tại Tp Hồ Chí Minh. Sau 3 tháng học tập kỹ thuật, bác sỹ Đào Ngọc Linh đã thực hiện thành công điều trị nhồi máu não bằng phương pháp tiêm thuốc tiêu sợi huyết . Sau 24 giờ gần như mọi chức năng của bệnh nhân Phùng Thị T hoạt động được bình thường, bệnh nhân hết liệt, đi lại được, nói được và hết lú lẫn. Thuốc tiêu sợi huyết rTPA (Alteplase) có vai trò làm tan huyết khối (cục máu đông làm tắc dòng chảy lòng mạch máu não và gây ra đột quỵ não). Huyết khối hình thành được là do fibrin. Trong quá trình ly giải cục huyết khối, plasmin là một chất có tác dụng tiêu hủy firbin tạo thành các sản phẩm thoái hóa có thể hòa tan được. Chất hoạt hóa plasminogen mô tái tổ hợp rTPA (với tên gọi Alteplase) có tác dụng chọn lọc trên fibrin, chuyển plasminogen thành plasmin, làm tan cục huyết khối. Đây là thuốc duy nhất được Hoa Kỳ (cơ quan FDA) chấp thuận sử dụng trong điều trị đột quỵ thiếu máu não cấp trong vòng 3h kể từ khi có triệu chứng đầu tiên xuất hiện. Điều trị bằng thuốc tiêu sợi huyết là biện pháp được khuyến cáo hàng đầu cho bệnh nhân nhồi máu não trong giai đoạn cấp, giúp giảm thiểu tỉ lệ tử vong cũng như di chứng. Theo nghiên cứu NINDS, tỉ lệ hồi phục hoàn toàn khi điều trị bằng Alteplase trong 3h đầu là 38%, tức là cứ 3 bệnh nhân được điều trị, sẽ có 1 bệnh nhân khỏi hoàn toàn. Tỉ lệ tử vong cũng giảm đáng kể khi điều trị bằng Alteplase (16% so với 22%). Các nghiên cứu ECASS III và SITS đã cho thấy, việc mở rộng cửa sổ điều trị lên 4,5h là chấp nhận được. Thời gian được tiêm thuốc càng sớm, tỷ lệ điều trị thành công càng cao. Thuốc tiêu sợi huyết rTPA (Alteplase) làm giảm tỉ lệ tàn tật và tăng khả năng phục hồi vận động của bệnh nhân sau đột quỵ não. Để đạt tác dụng, người bệnh cần được điều trị thuốc tiêu sợi huyết trong vòng 3h kể từ thời điểm xuất hiện triệu chứng. Do đó người bệnh cần được đưa đến bệnh viện càng sớm càng tốt.Đây là kết quả của sự chuẩn bị kỹ càng về chuyên môn kỹ thuật, về trình độ bác sỹ, về trang thiết bị và thuốc, cũng như may mắn của bệnh nhân là nhập viện ngay khi có dấu hiệu đột quỵ, bệnh nhân có được thời gian vàng điều trị. Đánh dấu sự phát triển chuyên môn mạnh mẽ, Bệnh viện đa khoa Sơn Tây đã là một trong những cơ sở đi đầu của các bệnh viện phía Tây thành phố Hà Nội, thực hiện được kỹ thuật sử dụng thuốc tiêu sợi huyết cho những bệnh nhân đột quỵ nhồi máu não giai đoạn cấp. Kỹ thuật tiêm Thuốc tiêu sợi huyết rTPA (Alteplase) làm giảm tỉ lệ tàn tật và tăng khả năng phục hồi vận động của bệnh nhân sau đột quỵ não. Để đạt tác dụng, người bệnh cần được điều trị thuốc tiêu sợi huyết tốt nhất trong vòng 3h, không quá 4 giờ kể từ thời điểm xuất hiện triệu chứng. Do đó người bệnh cần được đưa đến bệnh viện càng sớm càng tốt. Việc lựa chọn đưa bệnh nhân đến những cơ sở điều trị ở xa hoặc chuyển viện có thể làm mất thời gian vàng phục hồi của bệnh nhân, tăng tỉ lệ tàn phế, thậm chí là tử vong.
DS. Huyền Thương


