Chào mừng bạn đến với website Bệnh viện Đa khoa Sơn Tây

Địa chỉ: 304 A Lê Lợi - Sơn Tây - Hà Nội

Hotline: Đường dây nóng: 0966.40.1616

Chào mừng bạn đến với website Bệnh viện Đa khoa Sơn Tây

Địa chỉ: 304 A Lê Lợi - Sơn Tây - Hà Nội

Hotline: Đường dây nóng: 0966.40.1616

👩‍⚕️👩‍⚕️TÌNH CỜ PHÁT HIỆN CONG VẸO CỘT SỐNG

👩‍⚕️👩‍⚕️TÌNH CỜ PHÁT HIỆN CONG VẸO CỘT SỐNG
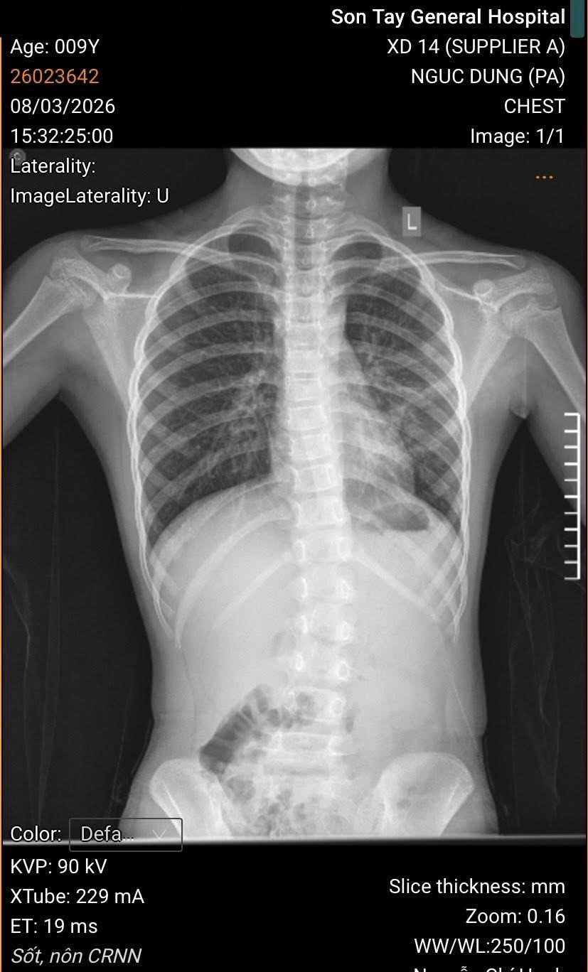
🧬🧬Người bệnh là cháu TRỊNH MINH H – 9 tuổi. Địa chỉ Phường Sơn Tây – Hà Nội.
⏰Ngày 08/03/2026 Đến Bệnh viện đa khoa Sơn Tây khám vì ho nhiều, lâu ngày không khỏi. Trong quá trình điều trị cho cháu H ngoài viêm phế quản, bác sĩ khoa Nhi – bệnh viện đa khoa Sơn Tây còn đánh giá phát hiện bé bị CONG VẸO CỘT SỐNG mà trước đó gia đình không hề biết. Cháu H cảm thấy bị đau mỏi lưng liên tục, dáng đi không cân bằng.
Qua các xét nghiệm cận lâm sàng
🩻🩻 Chụp xquang, dựng hình cột sống và đo chỉ số Scobb thấy tình trạng cong vẹo còn khả năng tập phục hồi chức năng được, chưa cần thiết can thiệp ngoại khoa. Khoa Nhi đã hội chẩn liên khoa với khoa Phục Hồi Chức Năng lên phương án hỗ trợ điều trị.
👉👉Với hướng điều trị: Tập vận động cột sống thắt lăng có trợ giúp x 20p/lần/ngày. Sau ra viện cháu tiếp tục được bác sĩ hướng dẫn tập trị liệu để đảm bảo cột sống về như ban đầu.
🔮🔮Cho thấy Cong vẹo cột sống đang ngày trẻ hoá đặc biệt là càng nhiều ở trẻ em.
👉ĐỂ PHÁT HIỆN SỚM: Gia đình, người thân, bố mẹ quan sát tư thế của con THẤY :
2️⃣vai không bằng nhau
– Nổi rõ 1️⃣ bên lưng khi trẻ cúi người về phía trước
2️⃣bên hông không đều nhau, 1 bên cao hơn bên còn lại
2️⃣bên xương sườn, lồng ngực không đều nhau:
🛡️🛡️BÁC SĨ KHUYẾN CÁO
Để Phòng ngừa cong vẹo cột sống
– Quan trọng nhất là con cần có 1️⃣tư thế đúng khi vận động, ngồi thẳng, đi đứng không khom lưng, không mang vác vật nặng sai cách
– Trẻ có thời gian nghỉ ngơi, thư giãn cơ xương khớp hợp lý
– Tập thể dục thường xuyên, mẹ có thể cho con đi bơi, yoga, plank, đạp xe; tránh bóng đá, bóng rổ, cử tạ, chạy bộ
– Chế độ dinh dưỡng hợp lý, tránh tình trạng béo phì làm tăng gánh năng lên hệ cơ xương khớp.
– Bổ sung calci hợp lý.
———————–
🏥 Địa chỉ: 304a Lê Lợi- Phường Sơn Tây- Hà Nội
☎ Hotline: 0966.40.1616
📧 Email:bvdkst@hanoi.gov.vn

Bình luận